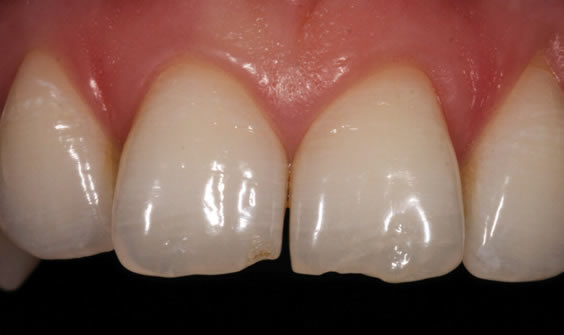
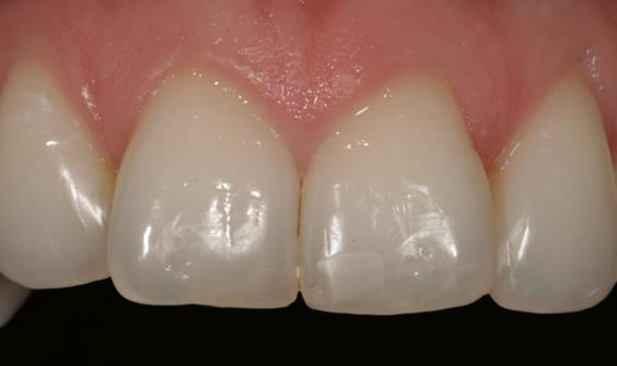
Smile Contouring
SIMPLICITY in itself!
One of our most popular treatments in the last six months. Our team are highly trained in providing this confidence changing procedure. Shade lightening followed by in chair composite contouring and no anaesthetic required.
Small additions of white filling material and subtle recontouring of teeth can make a huge improvement to someone’s smile. This type of "makeover" doesn't mean invasive treatment or huge expense. Our skills and advanced materials can enhance the natural tooth and create painless and beautiful improvements that will make you want to smile.




View all of our treatments 